Valgus deformity of the first toe most often affects women of mature age, but it also affects men.The deformed base of the thumb does not look aesthetically pleasing.In this case, the person feels physical discomfort, and in the advanced stage - pain.The deviation of the big toe is the result of the uneven load of the body on the foot.Such changes have a detrimental effect on the feet and other toes.
Causes of curvature

Hallux valgus does not occur for no apparent reason.This pathology appears and develops under the influence of a number of reasons.Hallux valgus most often affects people who are genetically predisposed to this disease.Doctors note the following causes of deformity of 1 finger:
- Excess body weight.
- Endocrine diseases.
- Osteoporosis.
- Flat feet.
- Diabetes mellitus.
- Psoriasis.
- Arthritis.
- Hormonal changes during pregnancy and old age.
- Wearing tight shoes.
- The specification of the profession, forcing a person to endure increasing physical activity on his feet every day.
Phases and varieties
Doctors consider 3 stages of disease progression:
- Subtle valgus deviation.Redness of the skin appears, as well as small scratches.Discomfort while walking.
- A growth is already clearly visible on the thumb.Swelling and pain are observed.
- This form of the disease is considered advanced.A person is bothered by constant unbearable pain in the big toe and the whole foot and the appearance of keratinized skin.The pain does not go away even during sleep.
The development of unpleasant hallux valgus is influenced by many factors.Experts have identified the following types of finger deformities as a separate category:
- Cross deformation.Bending occurs in different directions.Fingers are crossed with each other.
- Bending of the joints to such an extent that they are always in a bent position.In the first stage of the development of the pathology, the fingers can be forced to straighten with the help of the hands.If treatment is not started at this time, the fingers will become so stiff that you can no longer straighten them with your hands.Now it is impossible to do without surgery.
- Taylor's deformation.Pathology affecting the little fingers.It is characterized by the appearance of an increase in the bones.
- Bending of the phalanges, like hooks.

Experts include ballerinas at risk of developing hallux valgus.Jumping on your toes adds stress to your toes, which leads to them curling.Going the wrong way can also cause undesirable results.Provocative factors are aggravated by age.
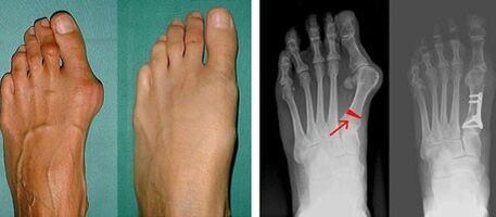
Diagnostic methods
If the visual examination and radiography do not give any results, then the patient is directed to plantography to determine possible flat feet.This method involves taking prints of the feet, based on which shoes or insoles with orthopedic properties are made for the patient.The patient is then prescribed pedometry.This method uses computer analysis to determine the pressure of a person's weight on their feet.The results of advanced diagnostics are the basis for choosing a treatment method for the curvature of the first and second fingers.
The disadvantage of X-ray examination is the need to irradiate the patient's legs, which many patients do not like.They think this is a very harmful method.In this regard, the effective treatment of hallux valgus cannot be started without the results of plantography.

This is the best informative diagnostic method.With its help, the doctor determines not only the presence of flat feet, but also the condition of the arches of the feet.Computerized examination is the most effective way to detect flat feet.
In the first stage of identifying the valgus of the thumb and little finger, the doctor performs a visual examination.In this way, it determines the stage of development of the pathology.To identify detailed changes in the joint, x-rays and plantography are prescribed.
Drug therapy
It is better to start gentle treatment of the foot, as well as the big toe, before the final stage of development of the pathology occurs.Experts know how to treat this pathology, but they do not know how to cure the advanced form of the disease without surgical intervention.First, doctors determine the cause of the curvature of the fingers, as well as the presence of complicating factors.As is known, the task of drug therapy includes symptomatic therapy.This means that pain, inflammation and swelling are eliminated.
Most often, patients are prescribed non-steroidal anti-inflammatory drugs.In addition to their main function, they reduce pain and fever.When complications occur, hormonal corticosteroids are often prescribed.If the deformation of the fingers is caused by diseases of the internal organs, then the joints can be corrected after the underlying pathology has been cured.In this case, the problem involves endocrinologists along with other highly specialized specialists.Many people try to cure using folk remedies, forgetting that this is possible only in the initial stage of the development of the pathology.
If the pathology is observed at the initial stage, then the crooked thumb is straightened with the help of devices - plastic or silicone pads with orthopedic properties.During treatment you should wear soft and roomy shoes.Orthopedic insoles, arch supports and other correctors are used to straighten crooked toes.Deformed fingers are fixed with splints, rings, caps and special combs.With the help of such devices, the fingers are secured in the correct position.Thanks to the orthopedic fixators, the development of further deformation of the fingers stops.
There are two ways to treat hallux valgus.The first is a painless correction of the deformity that does not require surgical intervention and rehabilitation, the second is surgical treatment.
Surgical methods of treatment

Complete healing of hallux valgus is possible only with the help of a surgeon's scalpel.Sometimes only one operation is enough and the patient forgets about the problem forever.The doctor performs the surgical intervention taking into account the type of hallux valgus deformity.The most common types of operations are:
- Exotectomy.Only a certain part of the metatarsal bone is removed.
- Resection arthroplasty.The end of the metatarsal bone is removed.
- Osteotomy.It is used to remove the metatarsal bone, as well as a small element of the phalanx.
- Resection.The operation aims to remove the affected soft tissues and then transplant healthy tissues in their place.
- Arthrodesis.Provides forced immobility of the joints.
- Distal osteotomy.The operation involves reducing the angle between the joints.
- Removal of the inflamed big toe bursa.
- Installation of implants.
The rehabilitation period after surgery can last up to seven weeks.During these few weeks, special preventive measures are usually carried out.First of all, these are therapeutic exercises that promote:
- improving health status;
- reduction of pain while walking;
- increase in leg muscle tone;
- installing and fixing the deformed joint in its natural position.
The duration of the rehabilitation period most often depends on the complexity of the operation.To speed up healing, you should start moving your fingers the next day.After a week, the patient can already stand up and, taking precautions, move slowly.The main thing is to avoid prolonged stress.
After surgery, you will need soft, roomy, high-quality shoes.It was bought on the recommendation of a doctor.By the way, if you start doing therapeutic exercises from the beginning of the development of hallux valgus, you can do it not only without surgical intervention, but also without wasting money on equipment, ointments and various medicines.
Experts say that the option of surgical treatment gives almost one hundred percent positive results.This gentle treatment method does not require anesthesia and does not cause stress or psychological distress.However, painless treatment methods are not able to save a person from the last stage of the disease.
Preventive measures

Preventive measures are quite simple - wearing comfortable shoes with wide toes, the inner part of which does not put pressure on the toes.Joints in particular and feet in general are able to withstand the weight that has accumulated during human growth without causing damage.Therefore, it is very important to monitor your body weight to avoid obesity.
One of the effective preventive exercises is as follows: a person, sitting in a chair with his feet on the floor, moves them using his fingers.
The next exercise involves walking barefoot on the floor, alternately on the toes and heels.
Simple gymnastics is quickly mastered, which leads to more complex physical exercises.You can then perform actions such as picking up a pencil or other object from the floor.
It is better to prevent the deformity of the thumb than to then stand in line at medical institutions to receive the doctor's recommendations for choosing an effective treatment.























